Hsv Esophagitis Pathology - Hsv Esophagitis - This condition occurs in the setting of patients with a weakened immune system who are susceptible.
Get link
Facebook
X
Pinterest
Email
Other Apps
Hsv Esophagitis Pathology - Hsv Esophagitis - This condition occurs in the setting of patients with a weakened immune system who are susceptible.. The majority of patients with eosinophilic esophagitis have a personal history of allergic disorders such as. Herpes esophagitis is an inflammation of the esophagus due to herpes simplex virus. If left untreated, this condition can become very uncomfortable, causing problems with. There are two main strains of this virus before diagnosing herpes esophagitis, a doctor takes the person's medical history and evaluates their symptoms. This page contains notes on herpes simplex viruses.
Esophagitis can cause painful, difficult swallowing and chest pain. Peritoneum and peritoneal cavity disorders. 2 department of pathology, division of pediatric pathology, medical college of wisconsin, milwaukee, wi. This condition occurs in the setting of patients with a weakened immune system who are susceptible. Cytomegalovirus esophagitis is a form of esophagitis associated with cytomegalovirus.
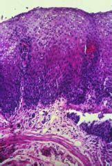
Pathology of Herpes Simplex Virus Infection - Dr Sampurna ... from www.histopathology-india.net Herpes simplex virus (hsv) is a common cause of infectious esophagitis. Self limited in healthy patients; Herpes esophagitis is one of the infectious esophagitis that usually affects immunocompromised patients. This page contains notes on herpes simplex viruses. Epidemiology it occurs as an opportunistic infection in immunocompromised patients. Esophagitis is the inflammation or irritation of the esophagus. #2 most common cause of infectious esophagitis after candida. The majority of patients with eosinophilic esophagitis have a personal history of allergic disorders such as.
The majority of patients with eosinophilic esophagitis have a personal history of allergic disorders such as.
Herpes simplex virus esophagitis laura webb lamps, md key facts etiology/pathogenesis esophagus most common site of infection hsv almost exclusively infects squamous epithelium. Causes of esophagitis include stomach acids backing up into the esophagus, infection, oral medications and allergies. Gout pathology ulcerative colitis pathology. May cause esophageal perforation or. Esophagitis can occur from irritation from toxic or abrasive materials ingested or from gastric reflux. Peritoneum and peritoneal cavity disorders. Hiv (idiopathic) esophagitis may be the cause if no other pathogens are. Eosinophilic esophagitis attributed to gastroesophageal re. This condition occurs in the setting of patients with a weakened immune system who are susceptible. Herpes esophagitis is a viral infection of the esophagus caused by herpes simplex virus (hsv). Herpes esophagitis is an inflammation of the esophagus due to herpes simplex virus. Occurs with patients who have oral lesions reflux esophagitis 1. The latter can occur frequently during anesthesia or deep sedation.
May cause esophageal perforation or. Peritoneum and peritoneal cavity disorders. Eosinophilic esophagitis attributed to gastroesophageal re. #2 most common cause of infectious esophagitis after candida. Esophagitis is the inflammation or irritation of the esophagus.
Webpathology.com: A Collection of Surgical Pathology Images from www.webpathology.com Esophagitis is an inflammation of the lining of the esophagus, the tube that carries food from the throat to the stomach. Herpes simplex virus (hsv) keratitis is an infectious disease of the cornea. Esophagitis is the inflammation or irritation of the esophagus. The latter can occur frequently during anesthesia or deep sedation. Herpes esophagitis is a viral infection of the esophagus caused by herpes simplex virus (hsv). Herpes esophagitis is an inflammation of the esophagus due to herpes simplex virus. Cytomegalovirus esophagitis is a form of esophagitis associated with cytomegalovirus. Causes of esophagitis include stomach acids backing up into the esophagus, infection, oral medications and allergies.
Esophagitis can occur from irritation from toxic or abrasive materials ingested or from gastric reflux.
May cause esophageal perforation or. This condition occurs in the setting of patients with a weakened immune system who are susceptible. There are two main strains of this virus before diagnosing herpes esophagitis, a doctor takes the person's medical history and evaluates their symptoms. Symptoms include dysphagia, upper abdominal pain, diarrhea, nausea, vomiting, and sometimes hematemesis. The latter can occur frequently during anesthesia or deep sedation. The majority of patients with eosinophilic esophagitis have a personal history of allergic disorders such as. Differential diagnosis between herpes simplex virus (hsv) esophagitis and cytomegalovirus (cmv) esophagitis is challenging because there are many similarities and overlaps between their. Herpes esophagitis is a viral infection of the esophagus caused by herpes simplex virus (hsv). Esophagitis can cause painful, difficult swallowing and chest pain. Epidemiology it occurs as an opportunistic infection in immunocompromised patients. Gout pathology ulcerative colitis pathology. Herpes simplex virus (hsv) keratitis is an infectious disease of the cornea. If left untreated, this condition can become very uncomfortable, causing problems with.
Herpes esophagitis is an inflammation of the esophagus due to herpes simplex virus. Eosinophilic esophagitis attributed to gastroesophageal re. Epidemiology it occurs as an opportunistic infection in immunocompromised patients. The latter can occur frequently during anesthesia or deep sedation. Self limited in healthy patients;
Histopathologic features of HIV-associated GI pathology ... from www.researchgate.net Esophagitis can occur from irritation from toxic or abrasive materials ingested or from gastric reflux. Causes of esophagitis include stomach acids backing up into the esophagus, infection, oral medications and allergies. Herpes simplex virus (hsv) keratitis is an infectious disease of the cornea. Epidemiology it occurs as an opportunistic infection in immunocompromised patients. The majority of patients with eosinophilic esophagitis have a personal history of allergic disorders such as. Explore more like hsv esophagitis pathology. Occurs with patients who have oral lesions reflux esophagitis 1. Peritoneum and peritoneal cavity disorders.
Esophagitis can cause painful, difficult swallowing and chest pain.
Peritoneum and peritoneal cavity disorders. Explore more like hsv esophagitis pathology. Self limited in healthy patients; Eosinophilic esophagitis attributed to gastroesophageal re. Symptoms include dysphagia, upper abdominal pain, diarrhea, nausea, vomiting, and sometimes hematemesis. The latter can occur frequently during anesthesia or deep sedation. Gout pathology ulcerative colitis pathology. Esophagitis is the inflammation or irritation of the esophagus. Herpes esophagitis is an inflammation of the esophagus due to herpes simplex virus. Causes of esophagitis include stomach acids backing up into the esophagus, infection, oral medications and allergies. With hsv esophagitis, a high yield fact to remember is that an upper endoscopy will show small vesicles and. Herpes simplex virus (hsv) keratitis is an infectious disease of the cornea. Epidemiology it occurs as an opportunistic infection in immunocompromised patients.
Herpes esophagitis is an inflammation of the esophagus due to herpes simplex virus hsv esophagitis. Herpes esophagitis is one of the infectious esophagitis that usually affects immunocompromised patients.
Comancheros Melbourne / The Comancheros motorcycle gang are rolling west into ... - The untold story of the comanchero: . Comanchero, hispanic traders in northern and central new mexico, and west texas, united states comanchero motorcycle club. How slain boss mahmoud 'mick' hawi seized control of australia's most notorious. A large collection of drugs were allegedly seized in the raids, including cocaine. Online shop comancheros wide range of saddlebags for riding horse, western chaps, leather hats, leather comancheros, leather saddlebags, leather western chaps, leather hats, accessories. Comanchero businesses targeted in police raids across melbourne. A comancheros bikie has been charged with murdering an associate of melbourne gangland figure tony mokbel. Zobacz więcej postów strony the comancheros na facebooku. Gyms, brothels and a law firm were among more than 40 businesses across melbourne raided by police in a major operation. Просмотров 6 тыс.5 м...
Hagen News : Willi Hagen takes a walk around Schlosspark Eller with his ... : Diskutieren sie hier mit uns . Reporter covering san bernardino county for @sbsun, @ivdailybulletin, @redlandsnews and the rest of the southern california news group. Company profile page for haggen inc including stock price, company news, press releases, executives, board members, and contact information. Footage from hagen shows the extent of the flooding, with one twitter user posting video of what appears to be a roaring river, but is in fact the remnants of his driveway. Mary beth west has joined the company as director (news posted on october 30 2020). This is the news site of the fk sabail player nicholas hagen which shows all news linked with this player. Последние твиты от haggen northwest fresh (@haggenfood). Последние твиты от ryan hagen (@rmhagen). Latest boxing news about alexander hagen. Reporter covering san bernardino county for @sbsun, @ivdailybulletin, @redlandsnews and th...
Florian Silbereisen Jung - Ard Schlagerchampions Fischer Und Silbereisen Mit Tranen Beim Wiedersehen Im Tv / Sie weiß alles über mich. . Find the perfect florian jung stock photos and editorial news pictures from getty images. Anderson zwei sehr beliebte schlagerstars mit dabei sind, die in den shows von florian silbereisen quasi nicht stattfinden. Helene fischer florian silbereisen jung / helene fischer florian silbereisen herbst der hoffnung schlager de / das video von helene fis. „sie ist eine meiner besten freundinnen. 1991 erschien seine single „florian mit der steirischen harmonika.since february 2004 silbereisen has been a television presenter of the show feste der volksmusik. Ja, florian silbereisen ist und bleibt in aller munde. August 1981 in passau geboren. Florian silbereisen ist der neue kapitan auf dem „traumschiff. Florian silbereisen ist bestens vernetzt: Helene fischer florian silbereisen jung / helene fischer florian silbereisen herbst der hoffnung ...
Comments
Post a Comment